新泰市中医医院启用肺癌早期筛查“法宝”——人工智能肺部小结节辅助诊断系统!人机合作“组队”阅片,肺结节无所遁形,已有多人受益!
2020-05-19 08:58党办
准确筛查和评估肺小结节的性质对于肺癌的早期诊断和早期治疗有着重要意义。经过近半年来的的测试运行,人工智能肺小结节辅助诊断系统已熟练应用于新泰市中医医院医学影像科。这意味着,医生联手“人工智能”,可让更多肺癌患者早发现、早治疗、早痊愈。
新泰市中医医院医学影像科自今年1月份安装人工智能小结节分析软件至今,已经免费为前来就诊的患者行肺部CT筛查,其中有8例无症状患者(平均年龄57岁)肺部1cm-2cm的小结节经过系统筛查提示高危,临床通过完善检查后行手术切除,术后病理均为早期浸润腺癌;2例无症状患者(平均年龄42岁)肺部小于1cm的小结节,经过系统筛查提示高危,综合患者PETCT再次检查,临床给予胸腔镜肺段切除,术后病理早期原位腺癌。
10位患者经术后随访均愈后良好。这10位患者是不幸的,又是极其幸运的,通过早发现、早治疗,患者无需放化疗,减少了治疗成本,大大提高了五年生存率,甚至达到了痊愈状态。
在新泰市中医医院医学影像科,整个候诊区坐满了等待检查和取报告的患者。科室副主任、诊断组负责人李美介绍,近年来,随着医院综合能力的持续提升,群众认可度和社会满意度不断提高,加上市民的体检意识增强,前来医院做肺部CT检查的患者逐年增多。2019年,放射科共有9535人次来做肺CT检查,也就是平均每天有26.4位患者行胸部CT检查。以平均每个患者做CT检查产生600张连续断层图像计算,放射科的医生平均一天要看26.4 X 600 张=15840张图像。为了以防有遗漏和误诊,诊断医师必须重复多遍审查细节。这无论是对医生的眼力还是体力、耐力都是巨大的压力和挑战。更何况肉眼筛查难免百密一疏,特别是对于紧靠血管的肺小结节,很容易遗漏。
但是,对于永远不知疲倦为何物的人工智能来说,这样的工作SO easy!
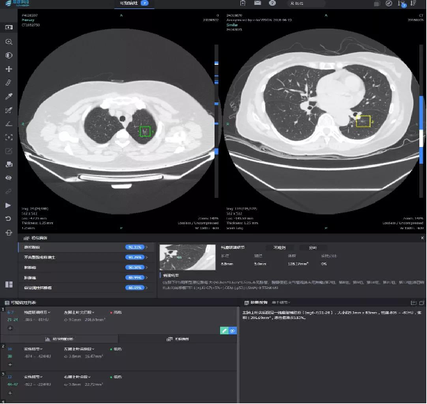
“人工智能(AI)系统可以对每一副图像进行地毯式筛查,避免因为经验差异和医生的视疲劳造成的漏诊。”李美介绍,传统人工筛查需要医生逐个区域用鼠标不停地拖曳、放大,用肉眼一点点甄别影像的每一处可疑部位,一般需要用时3—5分钟,有的疑难的影像片甚至需要更长时间。而人工智能肺小结节筛查系统,基于数十万份高质量胸部CT数据的神经网络深度学习、多维训练,相当于把数十万份由专家诊断的肺小结节大数据植入系统,作为强大支撑作出判断。借助人工智能的力量,系统即能快速对所有完成的胸部低剂量螺旋CT扫描图像进行筛查,并自动对可疑肺小结节进行精准定位,用色框清晰标注小结节坐标提示医生,并对结节的可疑病灶数、性质、直径、体积、CT值等信息以及影像学表现进行描述,医生就可以对这些有问题的地方着重处理。
如图显示,AI软件可以自动识别3mm以上的实性结节、磨玻璃结节(绿方框所示),省去医生寻找的时间
同时,人工智能还能对同一个患者前后做的CT影像检查数据进行对比和分析,不仅大大节省了医生的时间,更可以帮助医生对患者的结节生长速度和动态作出客观的判断,提高诊断的精准率,有助早期诊断和治疗。
新泰市中医医院外二科主任、胸外科专家杨方良介绍,目前,我国肺癌发病率及死亡率仍居首位,因肺癌早期症状的隐匿性,多数患者在确诊时已经是局部晚期或发生远处转移,错过了最佳治疗时机。
目前,胸部低剂量螺旋CT是发现肺部结节的“金标准”,通过CT薄层扫描可以早期发现肺内2—3毫米的微小结节。杨方良表示,肺部小结节并非一定意味着就一定是肺癌,很多良性疾病也可以表现为小结节,比如慢性肺炎、结核球、炎性假瘤、硬化性肺细胞瘤、支气管扩张、尘肺等,所以不必太过恐慌。对于肺部小结节的诊断,有经验的医生会根据结节所在部位、大小、密度、形状、钙化、边缘有无分叶、毛刺、胸膜凹陷等具体情况综合判断结节的良恶性,再应用胸腔镜活检或CT定位下穿刺活检等帮助患者进一步明确诊断。当然,发现结节也要重视,积极找医生明确诊断,不能抱有侥幸心理持续观望。通过医生的经验,明确肺小结节性质,及时采取相应的干预手段进行规范治疗,那么患者五年生存率可提高到80%,术后10年肺癌复发率明显减低。治疗方法和预后也会有很大的差异,由此可见肺癌早期发现的重要性。
哪些人需要做肺部体检?
特别
提醒
科普知识
科
普
知
识
肺实质内大于3cm的病灶称为肿块,小于3cm的病灶称为结节,而小于1cm的结节称为小结节,小于5mm的结节称为微小结节。
结节可以是很多问题,比如炎症、结核、肉芽肿......,也可以是早期的肺癌。
结节的大小与结节的良恶性间具有相关性,所以肺上有肺小结节一定要仔细的对待,不要过分恐慌,但也不要轻视它。
* 大于1cm的结节,应当尽量通过多种方式确定结节的良恶性。
* 小于5mm的微小结节,如果没有肿瘤病史则90%以上为良性结节,因此5mm以下的肺结节,每6个月做CT复查一次就可以。
* 5—10mm的肺结节应每3个月做CT复查一次。
*10mm以上的肺结节应1-2个月做CT复查一次,如果随访发现病灶无变化,则延长至3个月、6个月、1年进行复查。
01
低剂量
低剂量CT(LDCT),顾名思义,就是让检查者少“吃”射线的 CT。低剂量肺小结节分析扫描只有普通肺部CT扫描剂量的20%左右,有效解决了肺小结节需要频繁复查所带来对人体的伤害。
02
靶扫描
有的放矢,只针对结节扫描。定期复查的肺小结节大多都是直径小于10mm的结节,相对于整个肺部来说,这种结节显得“微不足道”,而肺小结节分析检查的靶扫描,把肺小结当做靶子,只针对这个靶子进行更薄、更细致的扫描,把肺小结节的细微情况凸显出来,这样就更易于诊断医生对结节进行分析、处理了。
03
智能分析,诊断准确率高
肺小结节分析不仅有上述扫描技术优势,同时更是拥有强大的软件分析能力,利用大数据及AI智能辅助等软件系统,极大的提高肺小结节良恶性的诊断准确率,特别是在肺部磨玻璃结节的分析上,诊断的准确率达到90%以上,对下一步早期干预和治疗有着重大的指导意义。
供 稿:医学影像科
编 辑:杨 蓉
责任编辑:展光保
原创作品,转载请注明来源及出处
底部随手点赞呦↓↓↓